https://github.com/george-mountain/computer-vision---cardiac-detection-project
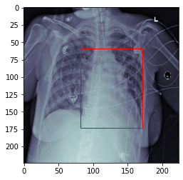
In this project, we train a model for cardiac detection based on the RSNA Pneumonia Detection Challenge (https://www.kaggle.com/c/rsna-pneumonia-detection-challenge). Pytorch , torch vision and pytorch lightning were harnessed for this project. The model was deployed in production and served via API calls.
https://github.com/george-mountain/computer-vision---cardiac-detection-project
Last synced: 7 months ago
JSON representation
In this project, we train a model for cardiac detection based on the RSNA Pneumonia Detection Challenge (https://www.kaggle.com/c/rsna-pneumonia-detection-challenge). Pytorch , torch vision and pytorch lightning were harnessed for this project. The model was deployed in production and served via API calls.
- Host: GitHub
- URL: https://github.com/george-mountain/computer-vision---cardiac-detection-project
- Owner: george-mountain
- Created: 2022-06-02T12:03:28.000Z (over 3 years ago)
- Default Branch: main
- Last Pushed: 2023-04-30T02:56:01.000Z (over 2 years ago)
- Last Synced: 2025-01-21T06:11:33.354Z (9 months ago)
- Language: Jupyter Notebook
- Homepage:
- Size: 959 KB
- Stars: 0
- Watchers: 2
- Forks: 0
- Open Issues: 0
-
Metadata Files:
- Readme: README.md
Awesome Lists containing this project
README
# Computer-VIsion---Cardiac-Detection
We will train a model for cardiac detection based on the RSNA Pneumonia Detection Challenge (https://www.kaggle.com/c/rsna-pneumonia-detection-challenge).
At first we download the data from kaggle (https://www.kaggle.com/c/rsna-pneumonia-detection-challenge/data), by clicking on "Download All" and extract it afterwards.
### Test Result on a Sample Image
